小朗育儿网:是一个致力于服务新手父母,分享按宝宝的成长每个阶段的婴幼育儿知识的专业平台!

当前位置:育儿知识 > 1-3岁 >
优质

2岁男童朝自己开一“枪” 5厘米气钉射中心脏

育儿知识

小编2岁男童朝自己开一“枪” 5厘米气钉射中心脏

2岁男童朝自己开一“枪” 5厘米气钉射中心脏

原创内容 来源:未知 时间:2024-10-01 08:34:02 阅读() 收藏:29 分享:50

导读:您正在阅读的是关于【1-3岁】的问题,本文由育儿专家,专业的宝妈,高级营养师等整理监督编写。
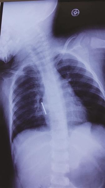
胸片显示,气钉扎进孩子胸腔,差一点就要了孩子的命。胸片显示,气钉扎进孩子胸腔,差一点就要了孩子的命。

  2岁小孩趁着大人不注意,玩起了气钉枪。谁知,一不小心就朝着自己开了一枪。结果不偏不倚,一个5厘米左右长的钉子竟然就射中了心脏,差点让孩子丢了性命。

  2岁男童朝自己开了一枪

  气钉枪打出钉的力度,厉害的可射穿1cm钢板

  常熟市民许先生是做装修生意的,家里常备着装修用的各种器具,包括气钉枪等。2016年12月30日中午,许先生的2岁儿子阳阳(化名)在家玩耍,一把气钉枪放在客厅的板凳上。由于一旁没有家长看护,阳阳摸到了气钉枪。玩耍中,他的身体碰到了朝着自己的气钉枪的枪头,左手到处触摸气钉枪,一不小心扣动了扳机。

  一瞬间,一个长5厘米左右的钉子射进阳阳的心脏附近!据了解,气钉枪打出钉的力度很大,很有冲击力和杀伤力,速度一般60米/秒,厉害的可射穿1cm钢板。许先生看到此景,整个人都蒙了。带阳阳火速去医院,他在心里不停祈祷:“千万别刺到心脏!千万别……”

  钉尖穿入右心房肌层3毫米

  如果钉子再深入一点,那抢救都来不及了

  许先生一家先是带阳阳到常熟当地医院,后紧急转往苏大附儿院。据许先生回忆,阳阳一开始并没有大哭,只觉得胸口很痛,甚至一度脸色苍白,有晕倒的迹象。苏大附儿院胸心外科副主任医师廖健毅接诊后,果断采取诊断方案。

  “从片子上看,钉子尖就靠近心脏。如果直接拔钉子,钉子穿透心脏的话,会引起大出血,继而危及生命,也可能胸腔内存有大量积血会填塞心脏,十分危险。”

  在进行充分评估后,专家们决定手术打开胸腔,后发现钉子的钉尖已经穿入右心房肌层3毫米,已造成胸腔积血150毫升。“如果钉子再深入一点,那抢救都来不及了。”所幸手术顺利,阳阳脱离了生命危险。

  对此,专家提醒,寒假即将来临,孩子在家中玩耍,大人们务必要注意安全,一定要把那些容易对孩子造成伤害的工具远离他们视线。幼儿期为意外伤害的高发期,从1岁至3岁这个阶段,孩子对于周围事物有着强烈的探索欲,但是对于危险因素没有认知和规避能力。“各位家长朋友应格外留心孩子所接触的一切事物和环境,让儿童远离意外伤害。”(通讯员 钱丽萍 杜鹏伟 扬子晚报全媒体记者 薛马义)

94%的朋友还想知道的:

(267)个朋友认为回复得到帮助。

部分文章信息来源于网络以及网友投稿,转载请说明出处。

※本文所涉及医学部分,仅供阅读参考。如有不适,建议立即就医,以线下面诊医学诊断、治疗为准。如有冒犯请直接联系本站, 我们将立即予以纠正并致歉!。

本文标题:2岁男童朝自己开一“枪” 5厘米气钉射中心脏:http://www.wy668.com.cn/youerqi/346178.html

猜你喜欢